NAUJIENA ! Rentgenas MyRay ProXIma X6
MyRay ProXIma X6 dantų rentgenas – inovatyvus rentgeno sprendimas odontologijai
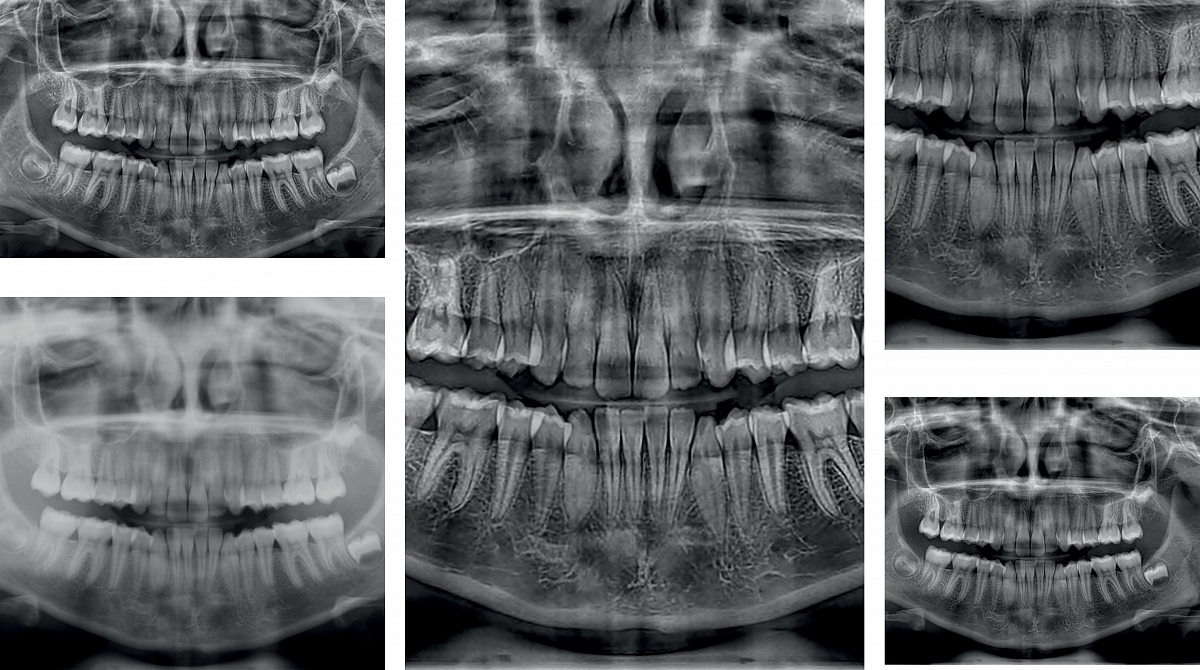
MyRay ProXIma X6 – tai pažangus, kompaktiškas ir itin tikslią diagnostiką užtikrinantis 2D/3D rentgeno aparatas, skirtas odontologinėms klinikoms ir diagnostikos centrams. Šis įrenginys suteikia aukštos raiškos vaizdus su minimaliu spinduliuotės kiekiu, užtikrindamas pacientų saugumą bei efektyvų gydytojų darbą.
MyRay ProXIma X6 rentgeno privalumai
-
Itin aukšta vaizdų kokybė – detaliai perteikia tiek kaulines struktūras, tiek minkštuosius audinius.
-
Minimali spinduliuotė – specialūs algoritmai optimizuoja rentgeno spindulių dozę pagal paciento anatomiją.
-
Patogus valdymas – jutiklinis ekranas ir intuityvi programinė įranga palengvina darbą.
-
Lanksti konfigūracija – galima pasirinkti 2D, 3D ir CEPH vaizdavimo režimus.
-
Ergonomiškas dizainas – kompaktiška konstrukcija taupo vietą klinikoje.
Lanksti MyRay ProXIma X6 rentgeno konfigūracija
Šis įrenginys siūlo įvairias konfigūracijas, leidžiančias prisitaikyti prie specifinių klinikos poreikių:
-
Modulinė sistema – galimybė ateityje išplėsti funkcionalumą.
-
CEPH rankena – montuojama tiek kairėje, tiek dešinėje įrenginio pusėje.
-
Skirtingi vaizdavimo režimai – galima rinktis 2D panoraminį, cefalometrinį arba 3D vaizdą.
MyRay ProXIma X6 rentgeno valdymas
-
7 colių jutiklinis ekranas – aiškus ir lengvai suprantamas meniu.
-
Virtualus valdymo pultas – leidžia valdyti įrenginį nuotoliniu būdu.
-
Integruota kamera ir mikrofonas – palengvina paciento padėties nustatymą.
MyRay ProXIma X6 rentgeno vaizdo kokybė ir spinduliuotės dozė
-
Automatinė spinduliuotės dozės optimizacija – užtikrina minimalų poveikį pacientui.
-
Artefaktų mažinimo technologija – optimizuoja vaizdų kokybę net esant metaliniams objektams.
-
Keli skenavimo režimai – galima rinktis tarp „QuickScan“ (6,4 s), standartinio (9,6 s) ir „Super HD“ (16,8 s) režimų.
Apie MyRay ProXIma X6 rentgeno 3D vaizdus
-
MultiFOV technologija – prisitaiko prie paciento anatomijos, sumažinant nereikalingą apšvitą.
-
Platus matymo laukų pasirinkimas – nuo 6x6 cm iki 15x11 cm.
-
Scout View sistema – užtikrina tikslią dominančios srities registraciją.
Apie MyRay ProXIma X6 rentgeno 2D vaizdus ir Pan/Ceph jutiklį
-
MultiPAN funkcija – vienu skenavimu sugeneruojami 5 skirtingi fokusavimo sluoksniai.
-
iPAN funkcija – automatinis geriausiai sufokusuotų sričių sujungimas.
-
Cefalometrinė rankena – leidžia atlikti tikslius galvos srities tyrimus.
NeoWise skaitmeninis dirbtinio intelekto (DI) asistentas
-
Dirbtinio intelekto pagalba – padeda optimizuoti diagnostikos procesus.
-
Integracija su DICOM, RIS/PACS, TWAIN – užtikrina lengvą duomenų dalijimąsi.
-
Pažangūs atvaizdavimo algoritmai – realiuoju laiku leidžia stebėti ir analizuoti 3D vaizdus.
MyRay ProXIma X6 rentgeno techniniai parametrai
-
Anodo įtampa: 60-90 kV (2D), 90 kV (3D)
-
Skenavimo laikas (3D): nuo 6,4 s (QuickScan) iki 16,8 s (Super HD
-
Detektoriaus tipas: IGZO (2D), CMOS (3D)
-
Maksimali srovė: 15 mA
-
Matymo laukai (FOV): 6x6 cm iki 15x11 cm (priklausomai nuo režimo)
-
Židinio taškas: 0.5 mm
-

MyRay ProXIma X6 dantų rentgenas – tai inovatyvus sprendimas odontologinėms klinikoms, ieškančioms nepriekaištingos diagnostikos kokybės, patogumo ir maksimalaus pacientų saugumo.
Suteikiama garantija iki 5 metų.
Oficialus gamintojo atstovas Lietuvoje UAB "Inoveca Medtechna".
Odontologijos klinikos
įrengimas ir aptarnavimas
nuo A iki Z




















